Peskov: too early to say Europe shifts toward Russia
17:35
| Home page Health |
|
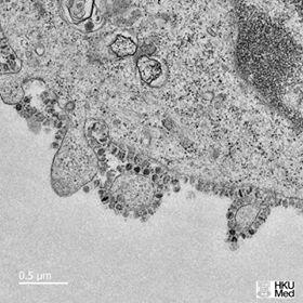
Scientists from the University of Hong Kong have released the first photos of coronavirus growth.
Axar.az informs that, the pictures show the spread of a cell infected with the 2019 nCoV coronavirus.
|
Date
2020.02.01 / 10:32
|
Author
Axar.az
|
